Menu
Inicio
Nosotros
Servicios
Noticias
Nuestro Equipo
Cosme Vela
Aleida Apodaca
Martha Islas
Zureya Fontes
Sócrates Robles
Miguel Herrera
Helio Lozano
Dalia Ríos
Norma Rodríguez
Rodolfo Carboni
Luis Aguilar
Victoria Leyva
Jesús Famania
Óscar Hernández
+
Casos de éxito
Blanqueamiento Dental
Ortodoncia
Resinas
Protesis
Carillas Dentales
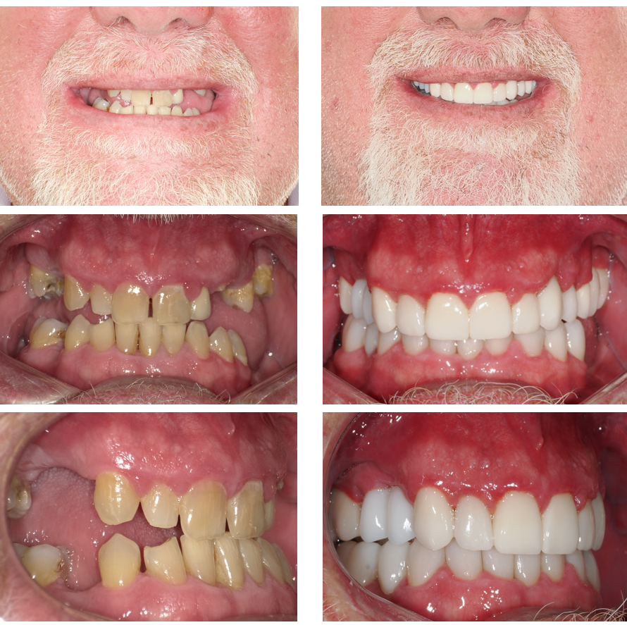
Rehabilitación Total
Otras
+
Testimonios
Contacto
Rehabilitación
Total
ENGLISH